Monday, July 15, 2013

Reading an MRI

A friend's neuro-radiologist read last year's MRI for me as a favor.  AMAZING, huh?  They're friends and apparently he's awesome like that.  Alfred apparently got a bad rap, and probably nothing more than an annoying polyp.  But, he says my MRI is anything but normal with "suspicious" areas, "abnormal dynamic uptake" (meaning the contrast dye wasn't absorbed in a "normal" fashion), and some micro-adenomas that he even used arrows on the photos to indicate so someone like me can know what he's talking about.  He suggests I repeat the MRI (which again can't be done locally) and to have a neurosurgeon read it.

They are tiny small, but Cushing's Disease is often caused by tiny little tumors no larger than a pencil-tip. Some 50% of proven Cushing's tumors aren't seen on MRI, so the fact that we now have a "target" is great!  A repeat MRI and more biochemical "proof" they are problematic (ie, lots and lots of lab tests) and I can get an official diagnosis and move forward to surgery.

Here are the five pictures he sent back with his comments about them:


 


 
The arrows indicate the hypo enhancing spots on the dynamics (first two pictures).  The [third] picture is a spot that he said is “very concerning.”  Then there is a post-enhanced hypo-enhancing spot where it doesn’t belong (ie, there is an area that didn't absorb the dye like it should, which is common with these type of tumors).  The side view shows what could be tumor, but it could also be a juncture spot. 

I made the pictures with arrows larger since they turned out pretty small on here, so it is hard to see.  To start, look right under the center of the brain for the white blob (from the side) or arch(from the back) that is the pituitary, surrounded by black arteries, etc.  That little blob/arch is where you'll find the arrows.

Sunday, July 14, 2013

Cushings Disease - Rare Disease Quick Facts


Click on the link above for some brief and simplified information about Cushing's Disease, it's symptoms, testing, and treatment. 

Saturday, July 13, 2013

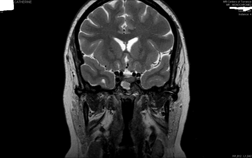
Meet Alfred!

These aren't all the best pictures to show Alfred's size or how he might be compressing the pituitary (or deviating the pit stalk), but they are the ones you'll be able to most easily identify Alfie in.  All pictures are during contrast injection, with Alfie being the big white blob under my brain, in the center of the pictures.  Click on the individual pictures for a closer view.








Alfred is in the house! (Er, sphenoid sinus?)

I had a dynamic 3T pituitary MRI over a year ago.  The report contained a large paragraph going into lots of detail about everything that was "normal" in my head.  Then at the end there was one somewhat indiscernible sentence about a blob in my sphenoid sinus.  I'll quote:  "There is focal mucosal thickening versus inflammatory ball of debris, retention cyst or polyp involving the posterior wall of the sphenoid sinus and also the roof of the sinus underlying the sellar floor anteriorly."

A google search of those terms brought back nothing understandable or related.  At the time, I could barely identify what a pituitary looked like on an MRI, and I didn't know how to work the program that of the MRI disc to even be able to switch from one picture to the next within each series of "slices."  I didn't even know what questions to ask, and the report said nothing of it's size, either, so when my Endo said that the MRI had come out clear, I have a sinking suspicion that he read the report and didn't look over the scans himself.  (Apparently he only does that prior to a full appointment, and not prior to a "drive by" call or email.)  I assumed he had looked at it and deemed the report accurate and my scans "clean" of problems. 

Well, fast forward to this week.  I've learned a lot more about cushings, which symptoms indicate highs vs. lows, testing protocol, and yes, even where a pituitary is on an MRI.  I've also made a number of "Cushie" friends online, one of whom LOVES reading MRI's the way I love reading fetal ultrasounds.  LOL!  She had her pituitary "fileted" about 6 weeks ago after a long battle to get herself diagnosed with Cushing's Disease, including 3 MRI's of her own.  She's also a computer gal, and took me on a guided tour of my head.  Yes, there IS a brain in there!

The polyp/cyst (a blob, really) is VERY obvious.  It is in the sphenoid sinus directly below and against the sella turcica that holds the pituitary gland.  It quite literally looks like I have a second pituitary that my actual pituitary gland is sitting on top of!  It also appears as though it is causing my pituitary to sit off-kilter, possibly skewing my pituitary stalk (the bundle of nerves and blood supply to the pituitary). 

When viewed pre-contrast, it is the same grey color of the pituitary gland.  In the scans taken during contrast uptake (ie, WHILE it is being injected), this blob lights up like a lightbulb --bright white and fairly uniform.  Meaning that it has blood supply, and possibly that it is more fluid than solid.  The "after" contrast pictures, the pituitary looks more white and the blob has returned to a mostly grey color again.  It is very obvious and quite striking! 

I've emailed my endocrinologist about the MRI.  It may or may not be causing my problems, but the chances sure seem good!  I will likely need a repeat MRI again anyway (which my endo has already suggested) since it has been over a year since my first.  I'm hoping to get this months' lab results first, then maybe schedule a telephone appointment with him to go over the MRI and labs, and make plans for what to do next.

I've done about 7 labs this week, and will see how many more "high" days I get next week.  Hopefully the results start coming back more conclusive with more highs results than normal ones.  I'm a bit worried that NORD is going to be shocked at the number of tests I'm pumping out in a month, but I think I've about got this down to a science (tracking symptoms and testing on highs) so hopefully it will be fast and furious on the testing front instead of doing a few tests a month for months on end. 

We don't know what this blob is.  We are (Britton and I), hopeful that it is indeed separated from the pituitary thus making pituitary damage from surgery far less of a risk, but also hoping it is the cause of the problem (causing pituitary compression) and can now be quickly identified as such and removed.  It doesn't act/look quite like a micro or macroadenoma, so we're hopeful it really is a "polyp" of some kind and not anything tumor-related that might grow back again. 

I've named my blob "Alfred," and regardless of it's accuracy, he will be blamed for everything until future notice!  ☺  I won't welcome you, Alfred, because you are certainly an uninvited guest, but I'm glad to know "it is all in my head" after all!  I hope you haven't put on much weight this past year, and expect you to start paying me some rent, ya loafer... 


Friday, July 5, 2013

Saying "No."

Customer Service Announcement: 

If I tell you I won't do some "little" favor for you, please know that I'm not being inconsiderate or rude and that I do care, it is just that I am trying to put myself and my family first.  Something "little" to a healthy person can be a herculean task to someone with debilitating illness.  I don't have extra to give, but I would if I could. 
On my "low" days, simply standing up can drain my energy reservoir as if I'd just walked a mile.  And even on "high" days, I am running on sub-optimal levels and generally have to play catch up for what went undone during my "lows," or (heaven forbid) try to do something fun for myself or my kids. 

I'm trying to learn how to set boundaries and realize my changing limitations, which is hard for someone who doesn't know how to say "no."  I literally feel guilty telling people I won't help.  I don't know why that is, but it is.  And saying "no" is even harder when the people that know I am sick don't recognize my limitations and keep asking more of me.  I feel guilty when I do use energy on doing something for myself, or having fun with the kids now and then.  We can use an example from this week of going to the 4th of July parade.  It was technically "unnecessary" to spend that energy, even if it was for a good cause (ie my kids, who don't get to do all the things kids with healthy, active parents get to do).  Friday I can try to recouperate some, but we'll have to clean house because it didn't get taken care of on the 4th.  Then Saturday is the farmer's market that I've agreed to be a part of and already invested time and money in.  The set-up and vending will take almost the entire day for me.  This is a good cause, something I enjoy, and helps bring in money...yet can also be viewed as unnecessary.  So if Sunday rolls around and I'm too exhausted to attend church, I will feel guilty and force myself to go when I physically should not, and when doing so could cause a cascade effect of further lack of energy, getting even more behind, etc.

So please, STOP assuming I'll do some "little" thing for you, and PLEASE stop asking.  I don't know if I'll be able to say "No" but I can tell you now that that should be the answer. 

Wednesday, July 3, 2013

Please help!




Dawn has had Cushing's for 20+ years. One failed brain surgery later & she now needs a life changing operation to save her life.  If you are able to donate towards her surgery, please do so here:

https://www.giveforward.com/fundraiser/qzl2/help-dawn-finally-defeat-cushing-s-disease